
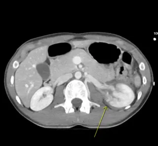
Renal trauma represents approximately 10% of all abdominal injuries and is most often secondary to blunt mechanisms such as motor vehicle collisions, falls, or sports injuries. ...more
Imaging ,CT Scan
November 05, 2025•3 min read


The appropriate use of iodinated contrast media is central to the success and safety of modern radiology. These agents not only enhance diagnostic accuracy by increasing tissue and vascular conspicuit... ...more
Imaging
October 09, 2025•4 min read

When preparing patients for IV iodinated contrast, the primary medication of concern is metformin and its combination formulations (e.g., Janumet, Actoplus Met, Kombiglyze XR). The issue is not that m... ...more
Imaging ,Medication
September 08, 2025•2 min read

It is extremely important for the ordering clinician to understand the difference between a low-dose CT (LDCT) chest, a routine (diagnostic) CT chest, and a High Resolution CT Chest. We frequently enc... ...more
Imaging
September 02, 2025•2 min read

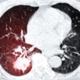
The Fleischner Criteria, provides standardized recommendations for the management of incidentally detected pulmonary nodules on CT scans. The key word here is incidentally detected, this is not to be... ...more
Imaging ,Cancer
September 01, 2025•1 min read
© Ask Dr Maes. 2026. All Rights Reserved.
The information provided by "Ask Dr Maes" is for educational and informational purposes only. It is based on our professional experience and is not intended as a substitute for medical advice, diagnosis, or treatment. Every individual’s health situation is unique, and you should always seek the advice of your physician, qualified healthcare provider, or hospital regarding any questions or concerns you may have about a medical condition, treatment, or before starting any new health program.